Utah Breaking News, Sports and Weather
Latest News & Features

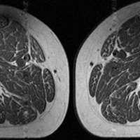
Ultraprocessed foods are turning human thighs into well-marbled steaks
Sandee LaMotte, CNN | Updated April 14 - 2:30 p.m. | Save Story
More than 50% of the calories consumed by adults in the U.S. come from ultraprocessed foods, according to the U.S. Centers for Disease Control and Prevention. In children, that number rises to 62%.

UPDATED
Father shot 11-year-old son, then himself in Elko airport, police say
Curtis Booker, KSL | Updated April 14 - 2:25 p.m. | Save Story
Investigators believe a man shot his son before shooting himself in a deadly incident at the Elko Regional Airport Monday.

Trump says he won't apologize to Pope Leo, explains his reason for posting criticized meme
Will Weissert, Josh Boak and Nicole Winfield, Associated Press | Updated April 14 - 1:52 p.m. | Save Story
President Donald Trump is refusing to apologize to Pope Leo XIV after criticizing the pontiff's opposition to the war in Iran. Trump told reporters Monday that he wasn't sorry for responding to Leo's public comments.

'Designated driver' arrested for investigation of DUI, going 126 mph
Pat Reavy, KSL | Posted April 14 - 1:05 p.m. | Save Story
A man who claimed he was the designated driver for the evening was arrested after police say he failed his DUI tests and was caught driving 126 mph.

'It was like a war zone': Kansas couple recalls sheltering from Monday night tornado
Ryan Gamboa, CNN | Updated April 14 - 12:30 p.m. | Save Story
Monday night's storms brought tornadoes that damaged numerous rural communities in outer-lying Kansas City metropolitan area communities.

SPONSORED
Speeding to success: How Utah Online School supports Sophia Sorensen's luge career
Utah Online School | Posted April 14 - 11:30 a.m. | Save Story
This South Jordan luge athlete and teen still has to keep up on her schoolwork, no matter how many medals she wins. Luckily for her, Utah Online School has helped her to stay on track — in every sense.

Pleasant Grove care facility manager arrested, accused of assaulting resident
Pat Reavy, KSL | Posted April 14 - 11:30 a.m. | Save Story
An assistant manager at a care facility in Pleasant Grove for disabled adults was arrested Monday and accused of assaulting one of the residents following an argument.

Patrick Kinahan: Final Jazz home game reflects NBA issues
Patrick Kinahan, KSL | Posted April 14 - 11:01 a.m. | Save Story
Imagine during the final home game of the season in the Jazz glory years if fans began egging on Jerry Sloan to insert a perpetual bench player into waning minutes of another blowout win.

Wholesale inflation rose in March to three year-high
Alicia Wallace, CNN | Updated April 14 - 11:00 a.m. | Save Story
Fast-rising oil prices sent U.S. businesses' costs higher in March, lifting wholesale inflation to 4%, the highest annual rate in three years, according to Bureau of Labor Statistics data released Tuesday.

As Ogden's WonderBlock project takes shape, officials discuss paid parking downtown
Tim Vandenack, KSL | Posted April 14 - 10:00 a.m. | Save Story
As Ogden's ambitious WonderBlock development project takes shape, city leaders are renewing debate about implementing paid downtown parking.

Lehi's new civic center celebrates community and growth
Curtis Booker, KSL | Posted April 14 - 9:30 a.m. | Save Story
New Lehi Civic Center signals an ode to the city's past, while honoring its future.

Aviation safety bill based on deadly midair collision near Washington faces a House vote
Josh Funk, Associated Press | Updated April 14 - 9:00 a.m. | Save Story
An aviation safety bill seeking to address lessons learned from last year's midair collision of a jet and an Army helicopter near Washington, D.C., is up for a vote Tuesday.

A 5.7 earthquake jolts rural Nevada near Carson City, causing some damage
Audrey Mcavoy, Associated Press | Updated April 14 - 8:40 a.m. | Save Story
A magnitude 5.7 earthquake struck a rural part of Nevada east of the state's capital of Carson City on Monday.

Intoxicated man asked to leave family dinner fires multiple rounds, police say
Pat Reavy, KSL | Posted April 14 - 8:21 a.m. | Save Story
An intoxicated man asked to leave a family dinner in Lehi on Sunday was arrested for allegedly firing off multiple rounds inside the home, according to police.

BYU cracks another top-25 poll — and this one's far from the Cougar gridiron or hardwood
Jason Swensen, Deseret News | Posted April 14 - 8:05 a.m. | Save Story
BYU's J. Reuben Clark Law School is ranked No. 24 in the U.S. News & World Report's 2026 Best Law Schools survey.

SPONSORED
Strokes increasing among young people: Here is what you should know
CommonSpirit Health | Posted April 14 - 8:00 a.m. | Save Story
Increasingly people 20-40 and even children and teenagers are having strokes. Parents should pay attention because these numbers indicate a troubling trend.

Salt Lake police sit down with unsheltered Utahns to seek resource solutions
Carter Williams, KSL | Posted April 14 - 7:40 a.m. | Save Story
A first-of-its-kind roundtable discussion between unsheltered residents and Salt Lake City police aims to find solutions to barriers in resources to help people experiencing homelessness.

State Sen. Kathleen Riebe will advise McAdams campaign after dropping bid
Cami Mondeaux, Deseret News | Posted April 14 - 7:15 a.m. | Save Story
State Sen. Kathleen Riebe will join forces with former Rep. Ben McAdams in his bid to win the Democratic primary for Utah's new 1st Congressional District.

Why some workers are embracing AI while others won't use it, according to a new Gallup poll
Matt O'brien and Linley Sanders, Associated Press | Updated April 14 - 6:51 a.m. | Save Story
More American workers are experimenting with artificial intelligence in their jobs, but skepticism is still widespread.

Utah's snowpack situation is a piece of a larger Western problem
Carter Williams, KSL | Posted April 14 - 6:15 a.m. | Save Story
States across the West dealt with below-average snowpack this season, which is leading to similar challenges facing Utah.

Motorcyclist dies in US 191 crash near Moab
Curtis Booker, KSL | Posted April 13 - 10:19 p.m. | Save Story
A crash on U.S. 191 has claimed a motorcyclist's life near Moab, police said.

Will there be a new global Olympic sponsor at Utah's 2034 Winter Games?
Lisa Riley Roche, Deseret News | Posted April 13 - 10:00 p.m. | Save Story
A U.S. bank could become a new worldwide Olympic sponsor.

Utah's massive voter data shift
Brigham Tomco, Deseret News | Posted April 13 - 9:30 p.m. | Save Story
Thousands of Utah voters received a letter in the mail last week explaining that their voter registration data will soon be publicly available unless they qualify as an "at-risk" voter.
Most Viewed
- Father shot 11-year-old son, then himself in Elko airport, police say
- BYU cracks another top-25 poll — and this one's far from the Cougar gridiron or hardwood
- Hill Air Force Base postpones biennial Warriors Over the Wasatch Air Show
- Utah's massive voter data shift
- Intoxicated man asked to leave family dinner fires multiple rounds, police say
- 'A wonderful celebration': New details shared about the Salt Lake Temple's 2027 public tours
- Utah's snowpack situation is a piece of a larger Western problem
- Motorcyclist dies in US 191 crash near Moab
- A 5.7 earthquake jolts rural Nevada near Carson City, causing some damage
- World's largest steam engine rolls through Utah
STAY IN THE KNOW
Get informative articles and interesting stories delivered to your inbox weekly.
Subscribe to the KSL.com Trending 5.
By subscribing, you acknowledge and agree to KSL.com's
Terms of Use
and Privacy Notice.

Sports »

Patrick Kinahan: Final Jazz home game reflects NBA issues
- Pac-12 campus officials, conference executives to meet this week as 2026 bowl lineup remains in flux
- Utah men's college basketball transfer tracker: UVU's Holcombe stays close to home
- Utah Jazz enter summer downplaying future playoff expectations
- Utah's Lani White selected in 3rd round of WNBA draft to Minnesota
Outdoors »

Utah's snowpack situation is a piece of a larger Western problem
- 'We knew we had to act': Great Salt Lake gets $30M boost from business community
- What Trump's proposed budget would mean for public lands in Utah and beyond
- Forest Service chief explains new approach to land management, headquarters move to Utah
- Cedar City recognized globally for mountain bike trail excellence
World »

Trump says he won't apologize to Pope Leo, explains his reason for posting criticized meme
- Lebanon and Israel hold first direct diplomatic talks in decades in Washington
- Pope Leo XIV in Algeria walks in footsteps of his spiritual father, St. Augustine
- Super Typhoon Sinlaku pounds remote US islands in the Pacific Ocean with ferocious winds
- Will there be a new global Olympic sponsor at Utah's 2034 Winter Games?
U.S. »

Ultraprocessed foods are turning human thighs into well-marbled steaks
- Father shot 11-year-old son, then himself in Elko airport, police say
- Trump says he won't apologize to Pope Leo, explains his reason for posting criticized meme
- 'It was like a war zone': Kansas couple recalls sheltering from Monday night tornado
- Rat birth control worked in Baltimore, so D.C. is giving it a try. Here's how it works.
Voces de Utah »

Utah Red Cross launches effort to encourage blood donations from Latino population
- Peruvians in Utah will count among the voters weighing in Sunday in Peru's presidential election
- Roy confrontation offers glimpse into immigration enforcement action unfolding around nation
- Manuel's El Burrito in Clearfield marks 50 years in business; operators hope for 50 more
- Salt Lake City unsure what DHS pause means for proposed ICE 'mega center'
Business »

Wholesale inflation rose in March to three year-high
- As Ogden's WonderBlock project takes shape, officials discuss paid parking downtown
- Aviation safety bill based on deadly midair collision near Washington faces a House vote
- BYU cracks another top-25 poll — and this one's far from the Cougar gridiron or hardwood
- Why some workers are embracing AI while others won't use it, according to a new Gallup poll
Politics »

Trump says he won't apologize to Pope Leo, explains his reason for posting criticized meme
- Lebanon and Israel hold first direct diplomatic talks in decades in Washington
- As Ogden's WonderBlock project takes shape, officials discuss paid parking downtown
- Aviation safety bill based on deadly midair collision near Washington faces a House vote
- State Sen. Kathleen Riebe will advise McAdams campaign after dropping bid







