Estimated read time: 2-3 minutes
This archived news story is available only for your personal, non-commercial use. Information in the story may be outdated or superseded by additional information. Reading or replaying the story in its archived form does not constitute a republication of the story.
SALT LAKE CITY — Kevin Wille and his wife, Nadine, embraced their doctor at the Huntsman Cancer Institute wholeheartedly — the man who saved Kevin's life.
"They told me there was good news," Kevin Wille said. "My cancer was not growing. It stopped. I said, "Really?"
Not many with stage 4 melanoma patients get a second chance. But Kevin did. He was a part of an international clinical trial on immunotherapy that has found great success. The immune system has regulatory systems that allow cancer to hide, making it difficult treat and even harder to cure.
Dr. Kenneth Grossmann, an oncologist at the Huntsman Cancer Institute, gave him two medications intravenously that worked together to help his body fight the cancer. "A good way of thinking of this is taking the brakes off your car and taking the emergency brakes off, so the potential for anti-cancer response is much higher but also the potential for toxicity goes up," he said.
Kevin's wife, Nadine, remembered the day two years ago when doctors told them the cancer was back. "I think the hardest part was telling the children," she said.
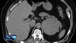
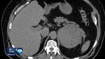
It all started seven years ago with a malignancy on his cheek. It returned with a vengeance on a family trip. A scan showed a tumor the size of a softball between the tip of his spleen and his liver. After surgeons removed that tumor, they discovered the cancer had spread.
"We found spots in the lung, abdomen, and a questionable area in the brain," Grossmann said.
Kevin agreed to be a part of the clinical trial. At first he thought it wasn't working. "In about three days, all sorts of things started to happen," he said. "I don't want to swear or anything, but all hell broke loose."
Kevin suffered severe colitis, an extensive rash, and weakness. But it worked.
Nadine's eyes filled with tears as she remembered when the good news came. "I asked, 'Is he in remission?' He said, 'Well, remission isn't a word we use for melanoma. It's a lack of active disease. I said, 'That was just fine with me.’”
Kevin made it to his oldest granddaughter's wedding. He's also enjoying his regular motorcycle rides. And also thanking his maker. "Every day I wake up, I thank the Lord," Kevin laughed. "I say, 'Oh, it's a beautiful day.’”
Next, researchers will focus on reducing side-effects of the drugs in clinical trials.









