Estimated read time: 3-4 minutes
This archived news story is available only for your personal, non-commercial use. Information in the story may be outdated or superseded by additional information. Reading or replaying the story in its archived form does not constitute a republication of the story.
SALT LAKE CITY — One in every 20 middle school students and one in every five high school students reported using an e-cigarette in the past 30 days, according to the 2020 National Youth Tobacco survey.
Those numbers have doctors concerned and urging parents to start an important conversation with their kids before school starts.
It's no secret that vaping is an ongoing issue. Dr. Denitza Blagev, a pulmonary medicine physician and researcher at Intermountain Healthcare, believes more needs to be done to prevent kids from ever starting.
"The nicotine levels are unregulated. It is really addictive and really, really hard to quit," she said.
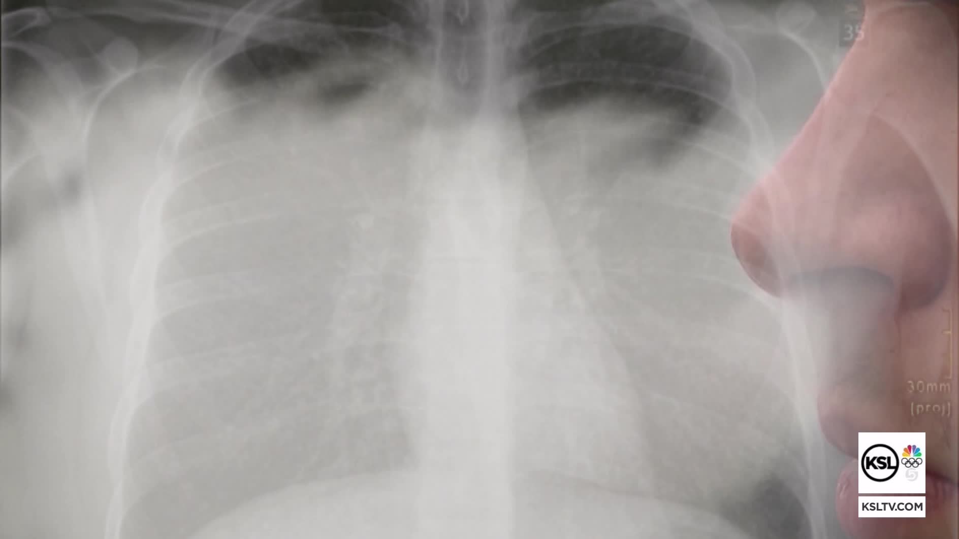
In her recent research, she found many of those who suffered a lung injury from vaping or e-cigarettes, also known as EVALI, still suffer from shortness of breath a year later.
"But about 15% still report pretty severe shortness of breath, even a year after they've recovered," she said. "And perhaps more surprising and more worrisome is the fact that nearly 40% of them ... have mild cognitive impairment."
When researchers asked participants in the study if they felt like they could think clearly, they reported have problems with cognition and thinking.
"Not being able to think quite as clearly or short-term memory or recall, things like that," she added.
Blagev said many also struggle with their mental health.
"So even as people recover, there's really a pretty significant component of anxiety and depression," she said.
Kids are introduced to vaping as early as middle school, Blagev said.
"Talking to kids about it and having it out in the open, because they are hearing about vaping from their friends, and just having the lines of communication open is really important," she said.
She encourages parents to take a proactive approach, perhaps role-playing with their child.
"What would you do if somebody offered you a vape pen? And what if those are kids that you wanted to hang out with?" she suggested.
Blagev finds many turn to vaping when they are stressed or anxious — only furthering the problem.
"We find in our patients who continue to vape that they're more stressed out, so they might be vaping more," she said.
She says this is an especially important reminder after kids have been isolated during the pandemic. She urges parents to help their children find healthier coping strategies
"Help them think through kind of more constructive ways that they may deal with some of those feelings," Blagev said.
Blagev's study found 25% of those who suffered a vaping or e-cigarette related lung injury continued to vape. "And so even for the fraction of people who vape who have had kind of the most serious, immediate complication of vaping, even they have a really hard time, quitting," she said.
She says that's a testament to how addictive it is and urges parents to sit down with their children before they start.










