Estimated read time: 6-7 minutes
This archived news story is available only for your personal, non-commercial use. Information in the story may be outdated or superseded by additional information. Reading or replaying the story in its archived form does not constitute a republication of the story.
ATLANTA (CNN) — Children share all kinds of things when they go back to school — books, pencils, stories from summer vacation and, unfortunately, pesky and sometimes dangerous parasites that rely on close contact between people to spread.
The most common worm infection in the United States is pinworm, and the people most likely to get this roundworm infection are children and those who care for children, according to the Centers for Disease Control and Prevention.
"If it's going to happen, it's going to happen in a day care or preschool setting or when children could go back to school in the fall," said Peter Jay Hotez, dean of the National School of Tropical Medicine at Baylor College of Medicine.
Although the "ick" factor for pinworms is high — they crawl around the anus and lay eggs — they usually amount to nothing more than irritable and sleepy kids.
However, toxocariasis and cysticercosis, other common worm infections in the United States, could invade the brain and hinder a child's performance in school. "We should think of (toxocariasis) at back-to-school time," Hotez said. "If this is interfering with learning and you treat it, this is something that could improve learning in the United States."
Here is a look at the most common worm infections in the United States, and how to spot and prevent them.
Pinworms
It is hard to put a number on how many people suffer from pinworms in the United States each year because there's no national system for tracking infections. But pinworms, known to parents as one of the grossest infections in children, are probably less common today thanks to better hygiene, Hotez said.
People get infected by swallowing pinworm eggs, which get on their hands through touching contaminated bedding or towels, or when caretakers wipe an infected child. Worms hatch and live in the intestine, but crawl through the anus and lay their eggs around the buttocks, which can cause intense itching. The eggs can then be passed to other people.
"Washing hands with soap and water after using the toilet or before preparing food and keeping fingernails clean is most important," Hotez said.

Most infections are pretty mild, and symptoms are no more drastic than itching, lost sleep and irritability. Still, pinworms can crawl into the appendix and are thought to be responsible for a small number of appendicitis cases in the United States. They've also been linked to infections of the urinary tract in boys and girls, and the genital tract in girls.
Oral medications such as albendazole and mebendazole do a good job of killing the worms, which are about the size of a staple. The drugs are safe for children at least 2 years old, and those younger than 2 can usually take a smaller dose.
Often, doctors will prescribe one of these drugs to a child with symptoms without even testing for the worms, Hotez said. However, when deciding whether to treat other people in the house who do not have symptoms, it's good to do a diagnostic test, he added. This can be done by pressing clear tape against the skin around the anus and looking under a microscope for eggs stuck to the tape.
Dientamoeba

Creepy, crawly worms may not be the only thing children have to worry about when they get pinworms. There is some indication that microscopic parasites called dientamoeba can hitch a ride on pinworm eggs and get into the intestines, where they can cause diarrhea, abdominal pain and fatigue. The symptoms resemble those of irritable bowel syndrome, and some experts have even suggested that dientamoeba could be one of the causes of this common gut disorder.
People who have dientamoeba, which is diagnosed by testing stool samples, should take antiparasitic medication, such as metronidazole or secnidazole, Hotez said. It is not clear if these infections are serious or carry other risks, but the symptoms can be painful, he added.
Because the parasite gets into the stool, it is important for people with dientamoeba to wash their hands well after going to the bathroom.
Toxocara

Even though pinworms are officially considered the most common worm infection in the United States, Hotez suspects they have actually been surpassed in prevalence by the roundworms that cause toxocariasis, a much more serious disease that can have a range of health effects and possibly even affect a child's ability to learn.
Whereas pinworms are "more of a nuisance than a medical problem, (toxocariasis infections) are definitely issues that are concerning," said Dr. Francisca Abanyie, a medical officer at the CDC's Center for Global Health.
Infections occur when people eat eggs from the roundworm, which is called toxocara. The eggs are spread by dog and cat feces, and they are common in soil and sandboxes. Surveys have found them in as many as 39 percent of sandbox samples in Kansas but less than 1 percent of soil samples from parks in New Jersey.
A study by the CDC suggests that between about 10 percent and 20 percent children 6 to 11 years old have been infected with roundworm, although many cases probably did not lead to symptoms.
Unlike pinworms, toxocara do not confine themselves to the intestines. Instead, the roundworm larvae wiggle their way into the bloodstream. They can travel to organs such as the lungs, liver and nervous system, where they can cause coughing and asthma, fever, enlarged liver, cognitive problems and epilepsy.
Toxocariasis may be partly responsible for the fact that children in very poor areas of the United States, where roundworms are more prevalent, perform less well in school, as Hotez said in a recent editorial in JAMA Psychiatry.
The medications used for pinworm, albendazole and mebendazole, can treat toxocariasis. The trick is diagnosing the disease, because its symptoms can be confused with other diseases, Hotez said. His lab is working on developing diagnostics for toxocariasis, and he hopes children will eventually be tested routinely every year.
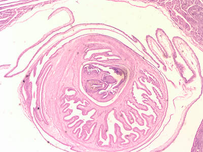
Cysticercosis

Another one of the most common worm infections in the United States is cysticercosis. The infection starts when people ingest tapeworms from contaminated pork that has not been cooked properly. The tapeworms take root in the intestine, produce eggs that get shed in the stool, and people who accidentally eat the eggs develop cysticercosis.
Tapeworm eggs can go anywhere in the body, including the skin, brain and other organs, although many infections never lead to symptoms, said Paul Cantey, a medical epidemiologist in the Center for Global Health.
A CDC report found that there were 18,584 hospitalizations for neurocysticercosis, which occurs when infections invade the brain and cause symptoms, between 2003 and 2012. Seizures are the most common symptom associated with neurocysticercosis, and children seem to be more likely than adults to experience them, Cantey said.
People with neurocysticercosis are usually first treated with antiepilepsy or anti-inflammatory medication to reduce the symptoms, and then medications such as albendazole to clear the infection.
The-CNN-Wire™ & © 2015 Cable News Network, Inc., a Time Warner Company. All rights reserved.









