Estimated read time: 3-4 minutes
This archived news story is available only for your personal, non-commercial use. Information in the story may be outdated or superseded by additional information. Reading or replaying the story in its archived form does not constitute a republication of the story.
SALT LAKE CITY — Deaf people tend to have better peripheral vision than those who can hear, but apparently, they might have the upper hand on touch, as well.
A new National Institutes of Health study, headed by University of Oregon researcher Christina M. Karns, Ph.D., says that the auditory cortex of individuals born profoundly deaf adapts to process other sensory tasks like touch, since it is not exposed to sound stimuli.
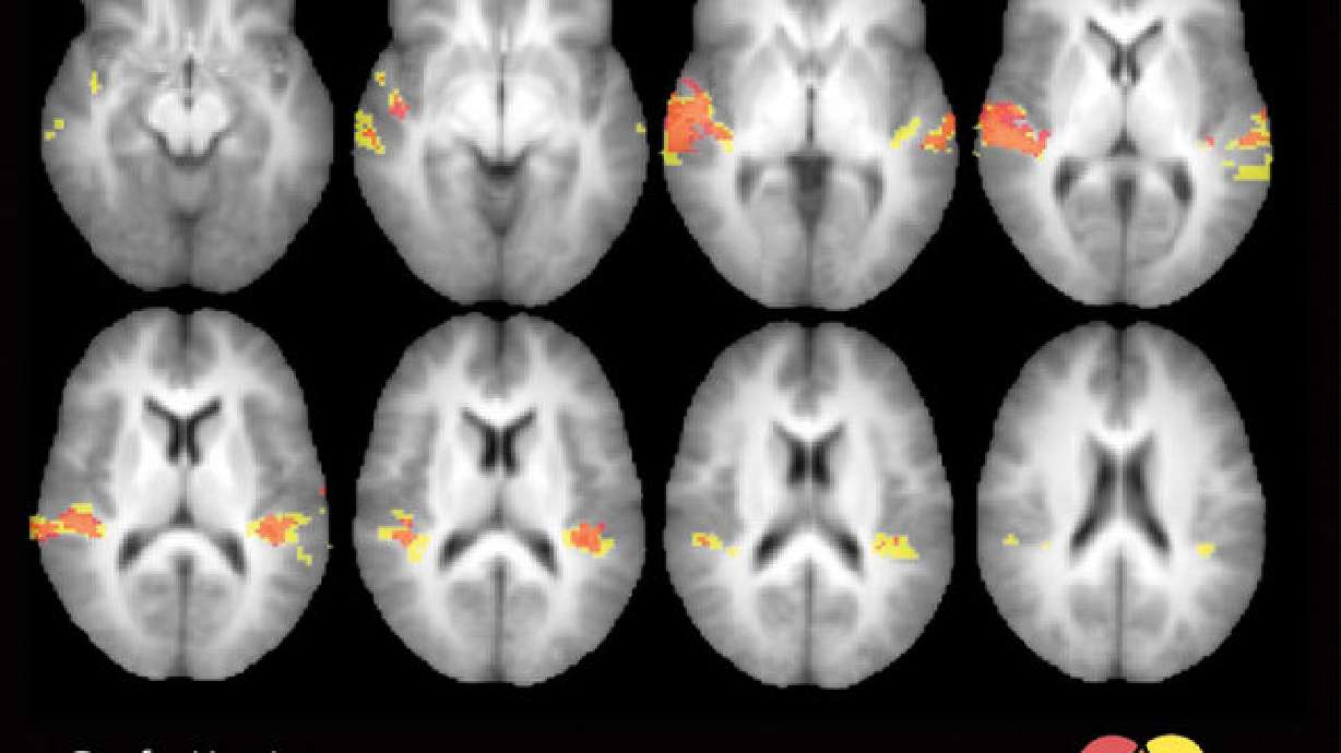
The study used a headphone-like device with flexible tubing that puffed air above the right eyebrow and on the right cheek. At the same time the tubes puffed air, fiber optic cables attached to the headgear would emit a pulse of light. Functional MRI displayed the reaction to both the somatosensory (touch) and visual stimuli in Heschl's gyrus, the auditory cortex and temporal lobe.
In a similar study of stimuli, hearing participants would be exposed to two sound events and a single pulse of light, and hearing people believed there to be two flashes. Similarly, when deaf people were presented with two touch events and one pulse of light, they believed there to have been two flashes. Hearing people were not susceptible to this illusion as deaf people, just as deaf people were unresponsive to the sound stimuli in previous studies.
Just as hearing people did not all have the same illusion with the sound stimuli, deaf participants in Karns' study with a stronger response in their Heschl's gyrus had a stronger reaction to the illusion.
As it turns out, the primary auditory cortex in people who are profoundly deaf focuses on touch, even more than vision, in our experiment.
–- Christina M. Karns, Ph.D, researcher
What this shows is that the auditory cortex in deaf individuals, while deprived of sound stimuli, adapts to process a different input, specifically touch. Other studies have shown that deaf people develop better peripheral vision than those who hear, and that their understanding of the input is clearer and quicker. Karns' study gives similar evidence that the deaf human mind has the ability to compensate and adapt to its particular circumstance.
Researchers note the significance of the auditory cortex adapting to process touch, rather than visual stimuli.
"We designed this study because we thought that touch and vision might have stronger interactions in the auditory cortices of deaf people," Karns said. "As it turns out, the primary auditory cortex in people who are profoundly deaf focuses on touch, even more than vision, in our experiment."
Research only looked at individuals born profoundly deaf, and questions about the sensory adaptations of late- deafened individuals remain, as well as how sign language learning might influence that change.
What has become clearer, however, is that brain development and function at the level of primary sensory cortices effect educational and rehabilitative programs for deafened individuals. Specifically, with this understanding that vision and touch are linked in deaf individuals, educational curriculum could be developed to help deaf students grasp concepts in school, rather than imposing a system based on long-held beliefs about the deaf brain.
The findings may also help clinicians understand the shortcomings of cochlear implant and speech training, as this study shows that the auditory cortex has developed alternative functions to hearing, making it more difficult for the cortex to function the way one stimulated by sound may.









