Estimated read time: 6-7 minutes
This archived news story is available only for your personal, non-commercial use. Information in the story may be outdated or superseded by additional information. Reading or replaying the story in its archived form does not constitute a republication of the story.
WASHINGTON (AP) — EDITOR'S NOTE: In 1981, the U.S. Centers for Disease Control and Prevention reported the first cases of a rare pneumonia that had sickened five Los Angeles gay men. The AIDS epidemic had begun.
Over the next three years, the CDC formally named the condition and announced that sexual contact and infected blood were the major ways the disease spread.
On April 23, 1984, the Department of Health and Human Services held a press conference to announce that the probable cause of the disease had been found — a virus that was eventually called the human immunodeficiency virus, or HIV. At the meeting, government scientists said the discovery could spur work on a preventive vaccine, which could be ready for testing within two or three years.
There is still no cure or vaccine. But drugs emerged in the mid-1990s that have turned HIV from a death sentence into a manageable chronic disease for people who stick with them.
An estimated 36 million people have died of AIDS since 1981, according to the World Health Organization.
Thirty years after its publication, the AP is making its original report on the announcement available.
___
Government scientists have found the virus that probably causes AIDS, a discovery that has led to a blood test for the deadly disease and the possibility of developing a preventive vaccine within two or three years, federal health officials announced Monday.
"The probable cause of AIDS has been found," Health and Human Services Secretary Margaret M. Heckler told a news conference.
Isolating the virus and developing a process to mass-produce it led to a test that should detect AIDS — acquired immune deficiency syndrome — in victims even before symptoms arise and tell if donated blood supplies are contaminated with the virus.
By identifying those carrying the virus and its presence in blood, "we should be able to assure that blood for transfusion is free from AIDS," Mrs. Heckler said.
"With the blood test, we can now identify AIDS victims with essentially 100 percent certainty," Mrs. Heckler said.
Dr. Edward N. Brandt, assistant HHS secretary for health, said the test should be widely available within six months to screen donated blood, suspected to be a source of the agent that causes the disease that destroys the body's immune system.
Brandt said that having quantities of the elusive virus should spur work on a preventive vaccine, which could be ready for testing within two or three years.
"What we have at the moment is not of particularly great benefit to those with the disease right now," Brandt said. However, he continued, the blood test should help researchers define the early courses of the incurable disease and possibly find a way to intervene at an earlier stage.
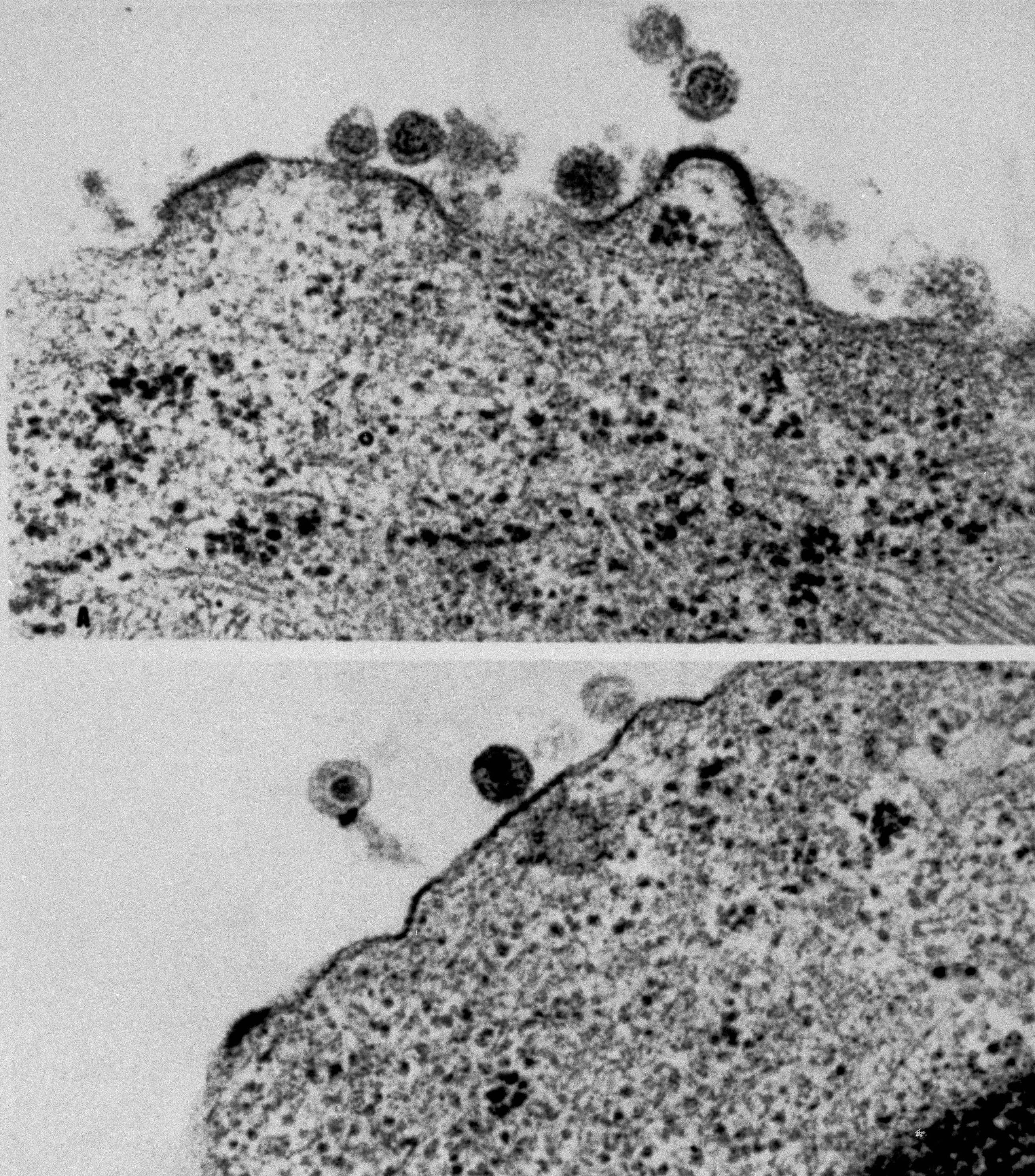
Scientists at the National Institutes of Health, and particularly Dr. Robert Gallo of the National Cancer Institute, were given most of the credit for isolating the virus and devising the system to routinely detect and grow it, a major step for future research.
The officials said they are so sure about the strength of the U.S. findings, which closely parallel work by French scientists reported last week, that they can declare an AIDS breakthrough after years of research.
"The NCI work provides the proof we need that the cause of AIDS has been found," Mrs. Heckler said.
Four papers describing the work of Gallo and his many colleagues will be published this week in the journal Science.
According to Gallo and the papers, the causative virus appears to be a member of a family of viruses called human T-cell leukemia virus (HTLV) previously suspected of having a role in AIDS.
The researchers said the new virus, called HTLV-3, shares so many characteristics with other HTLV viruses that it has to belong to this family despite some structural differences.
Scientists said they suspect HTLV-3 is very closely related, if not identical, to the recently publicized AIDS candidate virus called lymphadenopathy associated virus (LAV), which was discovered last year by French researchers at the Pasteur Institute in Paris.
Gallo told the news briefing that his group has worked closely with the French researchers and, despite some recent "miscommunications and misunderstandings," still is collaborating with them. And, he said, the Americans are not trying to steal credit for finding the virus.
To his knowledge, Gallo said, the French virus has yet to be truly isolated and grown in quantity to determine its structure. If it proves the same as HTLV-3, Gallo said, he will make sure the world knows of the French contribution.
"If the viruses prove to be the same, I will say so in collaboration with the French," Gallo said.
Both viruses attack and grow in the same white blood cells that are defective or missing in AIDS patients.
About 90 percent of blood serum samples from American AIDS patients show evidence of previous infection by HTLV-3, said Gallo. However, similar samples sent to Paris also showed about the same percentage of infection by LAV, according to French researchers.
Although it is unclear if HTLV-3 and LAV are the same viruses, it appears that scientists have identified, isolated, grown and taken electron microscope pictures of a virus or viruses that may cause AIDS.
Other experts say more work is needed to positively prove that HTLV-3 causes AIDS since victims of the disease become infected with many viruses because of their decimated immune systems.
AIDS results in the collapse of the immune system, which defends the body against disease. Victims become susceptible to rare cancers, pneumonia and other infections that lead to disability and death.
The federal Centers for Disease Control in Atlanta say that more than 4,000 AIDS cases have been reported in the United States since 1981 and that more than 1,700 patients have died of the incurable disease.
The majority of victims have been promiscuous male homosexuals, but other high-risk groups are intravenous drug abusers, Haitian immigrants and hemophiliacs who are treated with blood products. Scientists think AIDS is transmitted through contact with bodily fluids such as blood or semen.
The NIH studies said HTLV-3 viruses themselves, and not just indirect evidence of their presence, were isolated from 48 individuals. No virus was isolated from 115 normal people who were not members of groups at increased risk of AIDS.
Those in whom the virus was found included 26 of 72 patients with AIDS; 18 of 21 patients with a pre-AIDS syndrome manifested by depressed immune systems, and three of four clinically normal mothers of children infected with AIDS who may have acquired the infection before birth or through nursing.
The reports said the virus also was found in one of 22 samples from clinically normal, non-promiscuous homosexual males believed to be at only moderate risk of AIDS. However, six months after the tests, the man with the virus developed AIDS.
Copyright © The Associated Press. All rights reserved. This material may not be published, broadcast, rewritten or redistributed.









