Estimated read time: 7-8 minutes
This archived news story is available only for your personal, non-commercial use. Information in the story may be outdated or superseded by additional information. Reading or replaying the story in its archived form does not constitute a republication of the story.
LAS VEGAS — Disease detectives with the U.S. Centers for Disease Control and Prevention are investigating a cluster of rare and serious brain abscesses in kids in and around Las Vegas, Nevada, and doctors from other parts of the country say they may be seeing a rise in cases, too.
In 2022, the number of brain abscesses in kids tripled in Nevada, rising from an average of four to five a year to 18.
"In my 20 years' experience, I've never seen anything like it," said Dr. Taryn Bragg, an associate professor at the University of Utah who treated the cases.
Pediatric neurosurgeons like Bragg are rare. She is the only one for the entire state of Nevada, and because she treated all the cases, she was the first to notice the pattern and to alert local public health officials.
"After March of 2022, there was just a huge increase," in brain abscesses, Bragg said. "I was seeing large numbers of cases and that's unusual."
"And the similarities in terms of the presentation of cases was striking," Bragg said.
In almost every case, kids would get a common childhood complaint, such as an earache or a sinus infection, with a headache and fever, but within about a week, Bragg says, it would become clear that something more serious was going on.
After a presentation on the Nevada cases the Epidemic Intelligence Service Conference on Thursday, doctors from other parts of the country said they are seeing similar increases in brain abscesses in kids.
"We're just impressed by the number of these that we're seeing right now," said Dr. Sunil Sood, a pediatric infectious disease specialist at Northwell Health, a health system in New York. He estimates they are seeing at least twice as many as usual, though they haven't done a formal count. He urged the CDC to continue investigating and work to get the word out.
Brain abscesses are not, by themselves, reportable conditions, meaning doctors aren't required to alert public health departments when they have these cases.
They typically only come to the attention of public health officials when doctors notice increases and reach out.
Disease detectives on the case
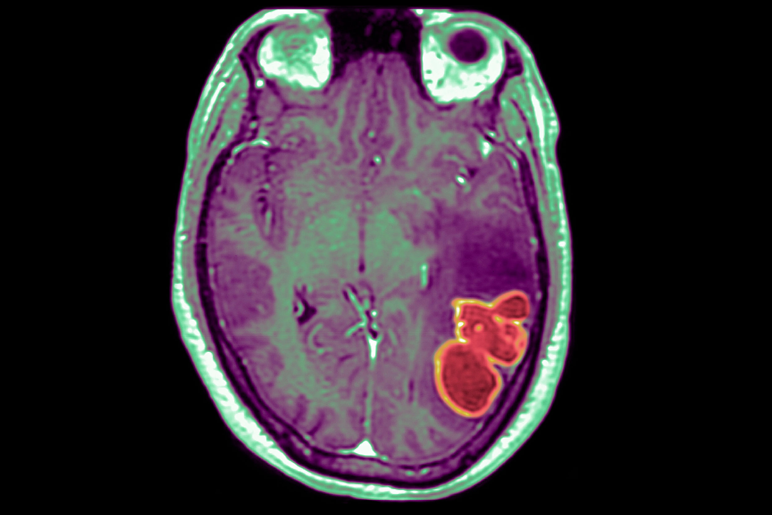
Brain abscesses are pus-filled pockets of infection that spread to the brain. They can cause seizures, visual disturbances, or changes in vision, speech, coordination or balance. The earliest symptoms are headaches and a fever that comes and goes. Abscesses often require several surgeries to treat, and kids may spend weeks or even months in the hospital recovering after they have one.
In the Clark County cluster, roughly three-quarters of the cases were in boys, and most were around age 12.
Dr. Jessica Penney is the CDC Epidemic Intelligence Service officer, or "disease detective," assigned to Southern Nevada Health District, the health department that investigated the cases. She presented her investigation of the Clark County cluster at the CDC's annual Epidemic Intelligence Service conference on Thursday.
Penney says as they tried to figure out what was driving the increase, they looked at a slew of factors — travel, a history of COVID-19 infection, underlying health, any common activities or exposures — and they didn't find anything that linked the cases.
Then, she says they decided to look back in time, looking for brain abscess cases in children under 18 all the way back to 2015.
"I felt like that helped us get a better sense of what might be contributing to it," Penney said in an interview with CNN.
From 2015 to 2020, Penney says the number of cases of brain abscesses in Clark County was pretty stable at around four a year. In 2020, the number of brain abscesses in kids dipped, probably because of measures like social distancing, school closures, and masking — things that shut down the spread of all kinds of respiratory infections, not just COVID-19. In 2021, as restrictions began to lift, the number of these events returned back to normal levels, and then in 2022, a big spike.
A link to the pandemic?
"So the thoughts are, you know, maybe in that period where kids didn't have these exposures, you're not building the immunity that you would typically get previously, you know with these viral infections," Penney said. "And so maybe on the other end when we you had these exposures without that immunity from the years prior, we saw a higher number of infections."
This is a theory called the immunity debt. Doctors have recently seen unusual increases in a number of serious childhood infections, such as invasive group A strep. Some think that during the years of the pandemic, because children weren't exposed to the number of viruses and bacteria they might normally encounter, it left their immune systems less able to fight off infections.
Sood said he's not sold on the theory that there's some kind of immunity debt at work. Instead, he thinks COVID-19 temporarily displaced other infections for a while, essentially crowding others out. Now, as COVID-19 cases have fallen, he thinks other childhood infections are roaring back — he points to unprecedented surge in RSV cases last fall and winter as an example.
Sood says brain abscesses normally follow a very small percentage of sinus infections and inner ear infections in kids. Because they are seeing more of those infections now, the number of brain abscesses has increased proportionally, too.
If immunity debt or a higher burden of infections were to blame, it stands to reason that brain abscesses might have increased in other places, too.
Last year, the CDC worked with the Children's Hospital Association to find and count brain abscesses in kids, to see if there was any sort of national spike. Data collected through May 2022 did not detect any kind of widespread increase, according to a study published in the Morbidity and Mortality Weekly Report last fall.
But Bragg thinks the data cutoff for the study may have been too early. She says spring 2022 was when she saw cases in her area really take off. She says the CDC is continuing to collect information on brain abscesses and evaluate local and national trends.
About a third of the brain abscesses in the Clark County cluster were caused by a type of bacteria called streptococcus intermedius that normally hangs out harmlessly in the nose and mouth, where our immune system keeps it in check. But when it gets into places it shouldn't be, like the blood or brain, it can cause problems.
That can happen after dental work, for example, or when someone has an underlying health condition that weakens their immunity, like diabetes.
That wasn't the case with the kids in the Clark County cluster, however.
"These are healthy children. With no prior significant medical history that would make them more prone...there wasn't any known immunosuppression or anything like that," Bragg says.
Like the cases in Clark County, Sood says most of the kids they are seeing are older, in grade school and middle school. He says until kids reach this age, their sinus cavities are underdeveloped, and haven't yet grown to their full size. This may make them particularly vulnerable to infection. He thinks these small spaces may become filled with pus and burst. When that happens over the eyebrow, or behind the ear, where the barrier between the brain and sinuses is thinner, the infection can travel to the brain.
Sood says the signs of a sinus infection in kids can be subtle and parents don't always know what to watch for. If a child gets a cold or stuffy nose and then the next day wakes up with a red and swollen eye, or an eye that's swollen shut, it's a good idea to seek medical attention. They may also complain of a headache and point to the spot above their eyebrow as the location of the pain.
On the lookout for new cases
Bragg says so far, in 2023, she's treated two more kids with brain abscesses, but the pace of new cases seems to be slowing down — at least she hopes that's the case.
Some of the children she treated needed multiple brain and head and neck surgeries to clear their infections.
Sood says in his hospital, doctors have a patient who has been there for two to three months and had five surgeries, although he says she was an extreme case.
Penney says the CDC continues to watch the situation closely.
"We're going to continue to monitor throughout the year working very closely with our community partners to see you know what, what happens down in Southern Nevada," she said.









