Estimated read time: 2-3 minutes
This archived news story is available only for your personal, non-commercial use. Information in the story may be outdated or superseded by additional information. Reading or replaying the story in its archived form does not constitute a republication of the story.
Ed Yeates ReportingDoctors have been doing what are called trans-catheter closures, plugging up little holes in the heart, for a long time.
But only recently have they noticed a good side effect and a rather unusual response from the patients.
Sherm Sorensen, M.D., LDS Hospital Cardiologist: "Many of the patients then reported a very high percentage of them had migraine and a very high percentage of these patients were grateful, not that they were not going to have a stroke, but that they had a significant reduction in their migraine."

Randy Harris had a congenital hole in his heart closed ten years ago with an old style fabric plug. In fact, he was the first adult in the world to go through the procedure. There were seven surgeons in the room then. He was on the operating table for ten hours. Yesterday he got a newer and better repair.
Randy Harris, patient: "Yesterday was like we weren't even here hardly. We went in about one and out before two o'clock - and everything was fine."
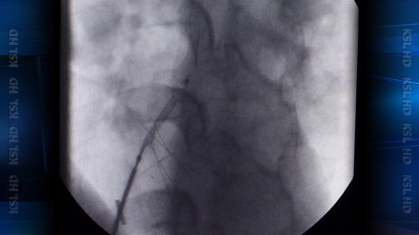
In about 35 minutes LDS Hospital surgeons in an out-patient setting, snaked a catheter up to his heart and inserted the new generation plug. Before the seal?

Randy Harris: "Oh, I would completely lose any cognizance of what I was going on for about a two to three hour period."
Randy's mini strokes have ended. And in other patients, something else, unexpectedly, has happened.
Dr. Sorensen: "Eighty-five percent of the people in observational studies report a reduction in migraine. Half of them say that they're cured."
Was it tiny clots or chemicals released from the heart that triggered the migraines? That's what Sherm Sorensen and his colleagues at LDS Hospital want to find out as they begin a new study.
Trans-catheter closures are now quick and efficient. In fact, Randy was on his feet right away. He went home this afternoon.
A clarification. Not all people who have migraines have a hole in their heart. But for those who do, and those numbers could be substantial, repairing both the hole and the migraine at the same time may be worth it.
That too is what the study hopes to find out.








