Estimated read time: 3-4 minutes
This archived news story is available only for your personal, non-commercial use. Information in the story may be outdated or superseded by additional information. Reading or replaying the story in its archived form does not constitute a republication of the story.
CHICAGO (AP) — 3-D mammograms may be better at finding cancer than regular scans, a large study suggests, although whether that means saving more lives isn't known.
The study involved almost half a million breast scans, with more than one-third of them using relatively new 3-D imaging along with conventional scans. The rest used regular mammograms alone.
The 3-D scan combo detected one additional cancer per 1,000 scans, compared with conventional digital mammograms. There were also 15 percent fewer false alarms — meaning fewer initially suspicious scan results that additional testing showed wasn't cancer.
But the study wasn't designed to determine whether the combined 3-D scans resulted in better long-term outcomes, and the procedure studied has drawbacks including higher costs, less insurance coverage and more radiation, depending on the machine.
Still, the researchers say their results are promising and confirm benefits found in smaller, less diverse studies.
"The technology finds more invasive cancers earlier when they are easiest to treat and reduces unnecessary recalls for false alarms," said Dr. Donna Plecha, a co-author and director of breast imaging at University Hospitals Case Medical Center in Cleveland.
Dr. Sarah Friedewald, the lead author and a radiologist at Advocate Lutheran General Hospital in Park Ridge, Illinois, said 3-D scans take only a few seconds longer and that patients notice no difference. She said she offers 3-D scans to all her patients.
The study was published Tuesday in the Journal of the American Medical Association.
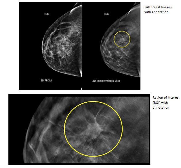
Standard mammograms typically take one image of each breast from two positions, while 3-D scans take several images of different layers of each breast. That allows for the detection of tumors that might be hidden under breast tissue and not noticeable on regular images, said Jim Culley, a spokesman for Hologic, which makes mammogram machines, including the combo ones used in the study that take both kinds.
The combined system costs up to about $450,000, or as much as two times more than conventional mammogram machines, according to pricing information provided by MD Buyline, a technology research firm. 3-D scans also are less likely to be covered by insurance.
Hologic helped pay for the study and several authors including Plecha and Friedewald are Hologic consultants and members of the company's scientific advisory board.
A newer Hologic 3-D system uses about the same amount of radiation as standard mammograms, while the equipment used in the study uses slightly more but still a safe amount, Culley said.
The researchers analyzed about two years of data from 13 centers as they switched from conventional mammograms to combined 3-D machines. Culley said doctors using Hologic scanners typically use both 3-D and standard imaging for each patient.
The detection rates were about four cancers per 1,000 conventional scans versus about five cancers per 1,000 combined 3-D scans.
Dr. Gilbert Welch, a professor of medicine at the Dartmouth Institute for Health Policy and Clinical Practice in New Hampshire, said the extra radiation and costs are a concern, and the study can't tell women want they want to know — if 3-D technology saves lives.
Welch said the results are "likely to be overhyped, leading every hospital in the country to feel pressured to buy a new piece of expensive equipment and — to recoup their investment — pressure women to use it."
Robert Smith, senior director for cancer screening at the American Cancer Society, said the extra radiation risks of 3-D mammograms are likely more than offset by the advantage of finding more cancer, but he agreed that more long-term data and cost analyses are needed.
___
Online:
JAMA: http://www.jama.com
___
AP Medical Writer Lindsey Tanner can be reached at http://www.twitter.com/LindseyTanner
Copyright © The Associated Press. All rights reserved. This material may not be published, broadcast, rewritten or redistributed.







